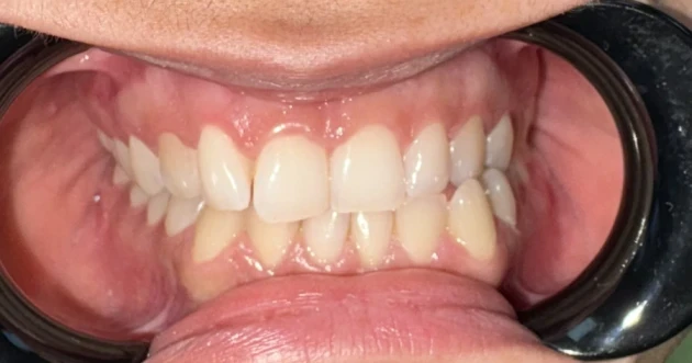
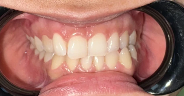
отпечатък за алайнери
5
(Basato su 3 recensioni)
Il servizio è stato eseguito presso Дентално студио ТОП ДЕНТАЛ da томи пелова su 9 ott, 25
София, жк. Младост 1, бул. „Андрей Сахаров“ 11, търговски комплекс “Рея”,ет.2, България
Se sei soddisfatto del risultato del servizio, puoi prenotare un appuntamento online per lo stesso servizio.
Trova servizi in
Aggiunto 3 mesi fa

Condividere con gli amici
|

















