София, жк. Младост 1, бул. „Андрей Сахаров“ 11, търговски комплекс “Рея”,ет.2, България
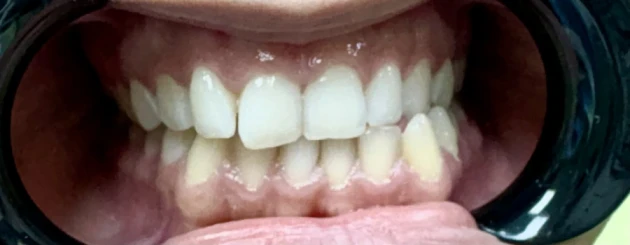
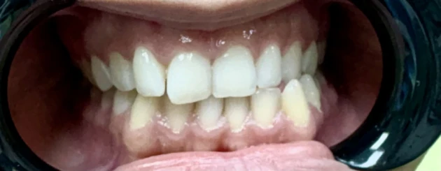
Aimez-vous ce service? Si vous êtes satisfait du résultat de la prestation, vous pouvez prendre rendez-vous en ligne pour la même prestation.
1h 30m 300 BGN / 153,39 €


















Trouver des services dans
Ajoutée il y a 24 jours