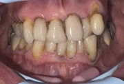
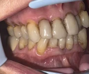
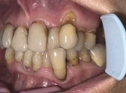
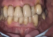
отпечатък за мост
0
(Базирано на 0 отзива)
Услугата е извършена в Дентално студио ТОП ДЕНТАЛ от томи пелова на 21 яну, 26
София, жк. Младост 1, бул. „Андрей Сахаров“ 11, търговски комплекс “Рея”,ет.2, България
Ако резултата от услугата Ви харесва можете да запазите час онлайн за същата услуга.
Намери услуги в
Добавено преди 2 месеца

Сподели с приятели
|





