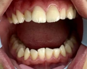
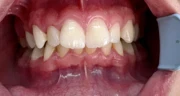
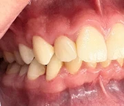
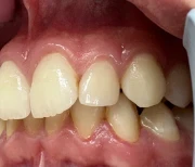
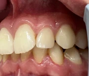
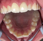
отпечатък за алайнери
5
(Базирано на 3 отзива)
Услугата е извършена в Дентално студио ТОП ДЕНТАЛ от томи пелова на 9 яну, 26
София, жк. Младост 1, бул. „Андрей Сахаров“ 11, търговски комплекс “Рея”,ет.2, България
Ако резултата от услугата Ви харесва можете да запазите час онлайн за същата услуга.
Намери услуги в
Добавено преди месец

Сподели с приятели
|








